Monday, June 4, 2012

Lung cancer



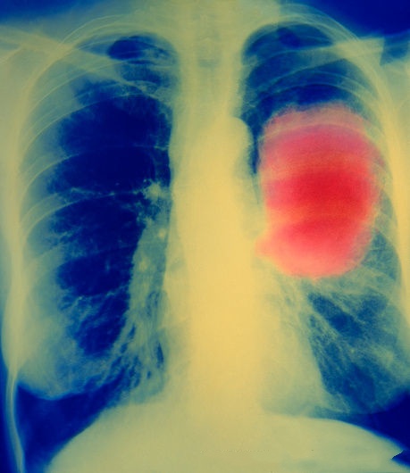
 Lung cancer. Coloured X-ray image showing an oval-shaped carcinoma (orange) in the left lung (right of image). Lung cancer is a very common primary malignant tumour; it is commoner in men than women and has a clear association with cigarette smoking. There are several types of lung cancer, the most common being squamous cell carcinoma, adenocarcinoma and large cell carcinoma; generally, it is not possible to identify the type of cancer only from a radiological investigation. If the cancer is diagnosed at an early stage, pneumonectomy (removal of the lung) is performed.

No comments:

Post a Comment